近日,西安交通大学第一附属医院血管外科禄韶英教授团队在血管介入手术导航方面取得重大技术突破,应用自主研发的AI图像分割软件,实现了DSA(数字减影)设备下复杂腹主动脉瘤腔内隔绝术的智能导航操作。这项命名为“AngiSight”的创新技术,解决了血管介入术中导航难题,其核心技术已获国家专利保护,经教育部科技查新确认为国际首创。
DSA设备下的血管介入诊疗操作是治疗心脑血管、外周血管疾病的主流技术。传统血管DSA手术存在诸多缺憾和风险,如手术中导丝、导管等器械可能损伤血管,导致相应器官或肢体急性缺血,在脑血管造影时可能引发脑血管意外;造影剂大量使用可能引发急性心衰、肾功能损害;辐射累积危害医患健康等。
为减少手术中造影剂使用量和放射线照射剂量,术中图像融合、路图等导航软件应运而生。尽管目前已有国际厂商推出搭载新型图像融合系统的新设备,仍存在双重问题:一是我国现有DSA设备中,老款设备占比高达99%,存在设备升级成本高昂、图像融合系统跨平台不兼容等问题;二是现有图像融合技术存在诸多不完美之处,如术前需多模态影像配准,难以精确匹配相同解剖结构导致融合误差,术中患者体位改变、生理运动影响融合图像质量和对病变部位的判断,不同分辨率图像融合还可能导致部分结构细节丢失或模糊,影响医生对病变的全面观察和诊断等。

本图国外报道的DSA术中图像融合技术,融合图像模糊不清,CTA图像为3D重建影像,DSA为2D影像,两者图层之间简单重叠覆盖,清晰度明显受到相互影响
禄韶英教授团队与北京飞燕四海医疗科技公司的工程师携手合作,结合目前最先进的图像分割、实时标注算法,研发出了基于神经网络、AI深度学习的DSA术中实时导航软件“AngiSight”。该软件实现了三大技术突破:在体位固定下达到0.1毫米级血管轮廓识别的精准导航,床位变动后3-5秒内完成新图像融合的实时响应,以及无须设备硬件升级即可适配各品牌DSA机型的广泛兼容性。应用该系统对52例临床真实病例进行回顾性研究结果证实,不仅降低了40%的辐射暴露,单次手术节省60%造影剂,还使急诊手术时间缩短了35%,为抢救赢得了黄金窗口,同时提高了慢性血管闭塞等疑难病例15%的成功率。

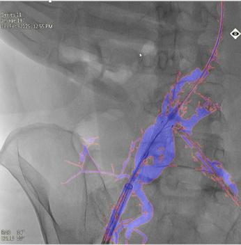
本图研究案例,使用10ml造影剂一次造影,实现EVAR术中髂内动脉重建,图中蓝色部分为造影显示的真实血管,红色边框为图像分割结果,融合图像的透明度可调节,与真实血管完全贴合,血管、器械的细节都清晰可见。
该软件的相关技术指标达到或超过了目前世界上最先进的医学图像分割模型,标志着国产医疗创新技术通过纯软件方案突破了硬件限制,打破了国际巨头在高端医疗设备技术领域的垄断地位,为国产医疗设备市场提供了升级换代的新方案。作为医工结合创新模式的典范,该软件是软件工程师与临床医生紧密合作的产物,将AI技术与现代医学治疗手段有效结合。目前团队正筹备全国多中心临床试验,并与器械企业推进产品转化。
禄韶英教授表示:“这项技术将像GPS导航改变出行方式一样革新血管介入手术,目前不仅成功应用于主动脉腔内隔绝手术,且在脑血管、肢体血管、内脏血管介入手术中的尝试也取得了可喜的结果。随着技术的不断完善与推广,能够让更多患者享受精准医疗的红利。”(通讯员 王馨 刘超 李延)
更多资讯,下载群众新闻
